インプラント治療前
インプラント治療後
初診状態:上の歯が完全にない状態
インプラント治療後:正面観
インプラント治療後:側面観
インプラント治療前:全ての歯が虫歯で全く噛めない。
インプラント治療後
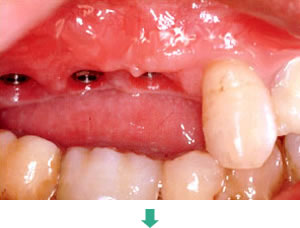
インプラント治療前:
4本の歯を利用して上顎に6本のインプラントを入れる。審美性の回復を目指す。
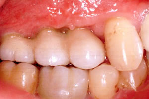
インプラント治療後
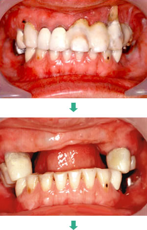
インプラント治療前:
下顎にインプラントを入れて、義歯型のインプラントを下顎に入れる。
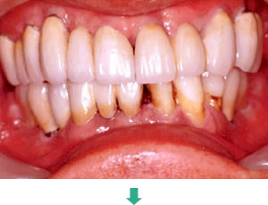
インプラント治療後
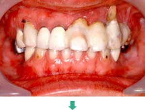
インプラント治療前:
歯が骨から飛び出して腐っている。
インプラント治療後
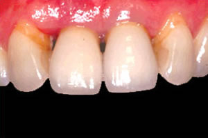
インプラント治療前:
インプラント治療後
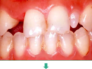
インプラント治療前:
前歯が欠けて、見栄えが悪く、よく噛めない。
インプラントを右上に埋入
インプラント治療後
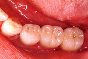
インプラント治療前:
インプラント治療後
インプラント治療前:
骨は十分にある為に、ブリッジタイプのインプラントを入れる。
インプラント治療後
インプラント治療後